Skip to content Skip to sidebar Skip to footer

Cat Scratch Disease Stellate Granuloma

Typical Stellate Microabscess Of Cat Scratch Disease A Small Download Scientific Diagram

Typical Stellate Microabscess Of Cat Scratch Disease A Small Download Scientific Diagram

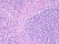
Cat scratch disease stellate granuloma. Cat scratch disease commonly results from a cat scratch or bite. Persons who are known to have this kind of disease condition are known to manifest the following symptoms. The granulomas in this disease are found in the lymph nodes draining the site of the scratch.

ZClassic in cat scratch fever lymphogranuloma tularemia. Bacillary angiomatosis however causes a vascular proliferation not a formation of stellate abscesses without granuloma formation as found in cat scratch disease. Cat Scratch Disease Historic Clinical And Pathologic Perspectives The Lymph Nodes Spleen And.

Henselae and or B. In cat scratch diseaseIn addition almost all have a central abscess in granulomas induced by Gram-negative bacteriaIn terms of the lymph nodes tularemia and cat scratch disease are apt to affect the axillary and cervical regions while Yersinia LA affects. Formation of granuloma is a Type IV granulomatous hypersensitivity reaction.

The site of inoculation is an invisible scratch. Disease Boutonnuese fever toxoplasma Hodgkin disease non-Hodgkin lymphoma and drug reaction. They contain neutrophils and some granular debris but giant cells are rare.

These granulomas may be stellate in appearance. Body malaise or discomfort all over. Cat scratch disease Cat-scratch fever The fall to winter condition is an infectious disorder occurring due to a gram negative cocco-bacillary pleomorphic extracellular bacterium Bartonella henselae B.

ZLess often in yersinia actinomycosis nocardiosis fungal or mycobacterial infection. Cat-scratch disease is an infection caused by the bacterial organism Bartonella henselae typically acquired by a scratch from a kitten infected with the organism. Tender regional Lymphadenopathy or swelling of the lymph nodes which develops around 1-2 weeks after the scratch or being bitten by a.

Granuloma is circumscribed tiny lesion composed of macrophages and lymphoid cells. May involve capsule or perinodal tissue.

Cat Scratch Disease Libre Pathology

Cat Scratch Disease Libre Pathology

Pin On Pathology

Pin On Pathology

Pin On Pathology

Pin On Pathology

Figure 4 Cat Scratch Disease Presenting As Breast Cancer A Report Of An Unusual Case

Figure 4 Cat Scratch Disease Presenting As Breast Cancer A Report Of An Unusual Case

Cat Scratch Disease Basicmedical Key

Cat Scratch Disease Basicmedical Key

Stellate Granuloma In Cat Scratch Disease Youtube

Stellate Granuloma In Cat Scratch Disease Youtube

Cat Scratch Disease Basicmedical Key

Cat Scratch Disease Basicmedical Key

Lymphadenitis Associated With Cat Scratch Disease Simulating A Neoplasm Imaging Findings With Histopathological Associations

Lymphadenitis Associated With Cat Scratch Disease Simulating A Neoplasm Imaging Findings With Histopathological Associations

Cat Scratch Disease Wikipedia

Cat Scratch Disease Wikipedia

Cat Scratch Lymphadenitis Springerlink

Cat Scratch Lymphadenitis Springerlink

Scielo Brasil Seronegative Cat Scratch Disease Diagnosed By Pcr Detection Of Bartonella Henselae Dna In Lymph Node Samples Seronegative Cat Scratch Disease Diagnosed By Pcr Detection Of Bartonella Henselae Dna In Lymph

Scielo Brasil Seronegative Cat Scratch Disease Diagnosed By Pcr Detection Of Bartonella Henselae Dna In Lymph Node Samples Seronegative Cat Scratch Disease Diagnosed By Pcr Detection Of Bartonella Henselae Dna In Lymph

Cat Scratch Disease Lymphadenitis Document Gale Academic Onefile

Cat Scratch Disease Lymphadenitis Document Gale Academic Onefile

Infectious Disorders

Infectious Disorders

Typical Stellate Microabscess Of Cat Scratch Disease A Small Download Scientific Diagram

Typical Stellate Microabscess Of Cat Scratch Disease A Small Download Scientific Diagram

Figure 3 From Cat Scratch Disease Case Report And Review Of The Literature Semantic Scholar

Figure 3 From Cat Scratch Disease Case Report And Review Of The Literature Semantic Scholar

Adult Systemic Cat Scratch Disease Associated With Therapy For Hepatitis C Bmc Infectious Diseases Full Text

Adult Systemic Cat Scratch Disease Associated With Therapy For Hepatitis C Bmc Infectious Diseases Full Text

Cat Scratch Disease Wikipedia

Cat Scratch Disease Wikipedia

Cat Scratch Disease Basicmedical Key

Cat Scratch Disease Basicmedical Key

Flashpath Sarcoidosis

Flashpath Sarcoidosis

Pathology Outlines Cat Scratch Disease

Pathology Outlines Cat Scratch Disease

Https Academic Oup Com Ppr Article Pdf 121 Suppl 1 S71 10477177 Pprs71 Pdf

Https Academic Oup Com Ppr Article Pdf 121 Suppl 1 S71 10477177 Pprs71 Pdf

Beyond Cat Scratch Disease Widening Spectrum Of Bartonella Henselae Infection American Academy Of Pediatrics

Beyond Cat Scratch Disease Widening Spectrum Of Bartonella Henselae Infection American Academy Of Pediatrics

Lymph Nodes Thymus And Spleen Clinical Gate

Lymph Nodes Thymus And Spleen Clinical Gate

Https Encrypted Tbn0 Gstatic Com Images Q Tbn And9gcrdzuzx4cc Kq710gfnjainxkfkwtxoq3fqunpokfghgqrloi08 Usqp Cau

Https Encrypted Tbn0 Gstatic Com Images Q Tbn And9gcrdzuzx4cc Kq710gfnjainxkfkwtxoq3fqunpokfghgqrloi08 Usqp Cau

An Uncommon Cause Of Linfadenopathy In A Kidney Transplant Patient Cat Scratch Disease

An Uncommon Cause Of Linfadenopathy In A Kidney Transplant Patient Cat Scratch Disease

Pathology Images Gross Pathology Histopathology Histology

Pathology Images Gross Pathology Histopathology Histology

Infective Germination Granulomatous Inflammation Lymph Node

Infective Germination Granulomatous Inflammation Lymph Node

Histopathology Of Granulomatous Liver Disease

Histopathology Of Granulomatous Liver Disease

Histopathology Silver Stain And Pcr Of Cat Scratch Disease A The Download Scientific Diagram

Histopathology Silver Stain And Pcr Of Cat Scratch Disease A The Download Scientific Diagram

Cat Scratch Disease An Overview Sciencedirect Topics

Cat Scratch Disease An Overview Sciencedirect Topics

Lymphadenitis Associated With Cat Scratch Disease Simulating A Neoplasm Imaging Findings With Histopathological Associations

Lymphadenitis Associated With Cat Scratch Disease Simulating A Neoplasm Imaging Findings With Histopathological Associations

Figure 3 From Cat Scratch Disease Case Report And Review Of The Literature Semantic Scholar

Figure 3 From Cat Scratch Disease Case Report And Review Of The Literature Semantic Scholar

Hematopathology Cat Scratch Lymphadenopathy

Hematopathology Cat Scratch Lymphadenopathy

Granulomatous Infections Of Head And Neck In Childhood Springerlink

Granulomatous Infections Of Head And Neck In Childhood Springerlink

Stellate Granuloma In Cat Scratch Disease Youtube

Stellate Granuloma In Cat Scratch Disease Youtube

An Uncommon Cause Of Linfadenopathy In A Kidney Transplant Patient Cat Scratch Disease Nefrologia

An Uncommon Cause Of Linfadenopathy In A Kidney Transplant Patient Cat Scratch Disease Nefrologia

Stellate Granuloma Cat Scratch Vtwctr

Stellate Granuloma Cat Scratch Vtwctr

Pathology Outlines Cat Scratch Disease

Pathology Outlines Cat Scratch Disease

Pathology Of Selected Infectious Diseases Chapter 3 Silverberg S Principles And Practice Of Surgical Pathology And Cytopathology

Pathology Of Selected Infectious Diseases Chapter 3 Silverberg S Principles And Practice Of Surgical Pathology And Cytopathology

Pediatric Lymphoid And Histiocytic Lesions In The Head And Neck Abstract Europe Pmc

Pediatric Lymphoid And Histiocytic Lesions In The Head And Neck Abstract Europe Pmc

Hematopathology Nodes With Specific Reaction Patterns

Hematopathology Nodes With Specific Reaction Patterns

Mahsa University College Ppt Video Online Download

Mahsa University College Ppt Video Online Download

Stellate Granuloma Cat Scratch Vtwctr

Stellate Granuloma Cat Scratch Vtwctr

Http Www Jsltr Org Journal 52 1 5201 01 Pdf

Http Www Jsltr Org Journal 52 1 5201 01 Pdf

File Cat Scratch Disease A High Mag Jpg Wikimedia Commons

File Cat Scratch Disease A High Mag Jpg Wikimedia Commons

Cat Scratch Disease Wikipedia

Cat Scratch Disease Wikipedia

Cat Scratch Fever Overview Cat Scratch Disease Is A Slowly Progressive Self Limiting Chronic Lymphadenopathy That Usually Occurs In Children Cat Scratch Ppt Download

Cat Scratch Fever Overview Cat Scratch Disease Is A Slowly Progressive Self Limiting Chronic Lymphadenopathy That Usually Occurs In Children Cat Scratch Ppt Download

Cat Scratch Lymphadenitis

Cat Scratch Lymphadenitis

Https Encrypted Tbn0 Gstatic Com Images Q Tbn And9gcqhylwwox2jtudtabfdctrjg Nqmmvcsllm3cpllbyjhazw72cy Usqp Cau

Https Encrypted Tbn0 Gstatic Com Images Q Tbn And9gcqhylwwox2jtudtabfdctrjg Nqmmvcsllm3cpllbyjhazw72cy Usqp Cau

Cat Scratch Disease Symptoms.

Bacillary angiomatosis however causes a vascular proliferation not a formation of stellate abscesses without granuloma formation as found in cat scratch disease. In addition unlike patients. Disease Boutonnuese fever toxoplasma Hodgkin disease non-Hodgkin lymphoma and drug reaction. These granulomas may be stellate in appearance. Cat scratch disease a clinical entity described in the literature for more than half a centuryAsdiagnostictechniquesimproveourknowledgeofthespectrumofclinical disease resulting from infection with Bartonella is expanding. Cat Scratch Disease Symptoms. Henselae and or B. Cat scratch disease Bartonella infection in immunocompetent hosts causes lymphadenitis especially in the axillary region characterized by sarcoid-like non-caseating granulomas filled with neutrophils. ZLess often in yersinia actinomycosis nocardiosis fungal or mycobacterial infection.


ZLess often in yersinia actinomycosis nocardiosis fungal or mycobacterial infection. ZOften large and irregular. These granulomas may be stellate in appearance. In these conditions the granulomas are often large and irregular in shape and may exhibit a stellate configuration. Cat scratch disease a clinical entity described in the literature for more than half a centuryAsdiagnostictechniquesimproveourknowledgeofthespectrumofclinical disease resulting from infection with Bartonella is expanding. Transmitted between cats by cat flea but not from cats to humans Adults or children 85 under age 18 infected by cat claws contaminated with infected flea feces. Suppurative granulomas granulomas with central abscess or microabscess formation are characteristic findings in lymph nodes in cat scratch disease lymphogranuloma venereum and tularemia.

Post a Comment for "Cat Scratch Disease Stellate Granuloma"